درد روی پا یکی از مشکلات رایج است که میتواند زندگی روزمره افراد را تحت تأثیر قرار دهد. این درد اغلب به دلیل فعالیتهای روزانه، کفش نامناسب یا مشکلات جسمانی ایجاد میشود. هرچند بسیاری از موارد با استراحت و مراقبتهای ساده بهبود مییابند، اما گاهی نشاندهنده مسائل جدیتری است. در این مطلب از فیزیوتراپی راحیل، به بررسی انواع، علت درد روی پا، تشخیص و پیشگیری از این درد میپردازیم تا درک بهتری از آن به دست آورید.
انواع درد روی پا
درد روی پا میتواند به شکلهای مختلفی ظاهر شود. برخی از انواع شایع آن شامل موارد زیر هستند که هر کدام ویژگیهای خاصی دارند.
1. شکستگی استرسی
شکستگی استرسی به شکستگیهای کوچک در استخوانهای پا اشاره دارد که اغلب به دلیل فشارهای مکرر مانند دویدن یا راه رفتن طولانی ایجاد میشود. این نوع درد معمولاً با تورم و حساسیت همراه است و نیاز به استراحت فوری دارد.
2. سندروم سینوس تارسی
این سندروم که با التهاب در کانال بین پاشنه و استخوان مچ پا همراه است، اغلب در افراد با کف پای صاف یا کسانی که فعالیتهای سنگین انجام میدهند، دیده میشود. درد آن معمولاً در قسمت خارجی مچ پا احساس میشود و میتواند با بیثباتی همراه باشد.
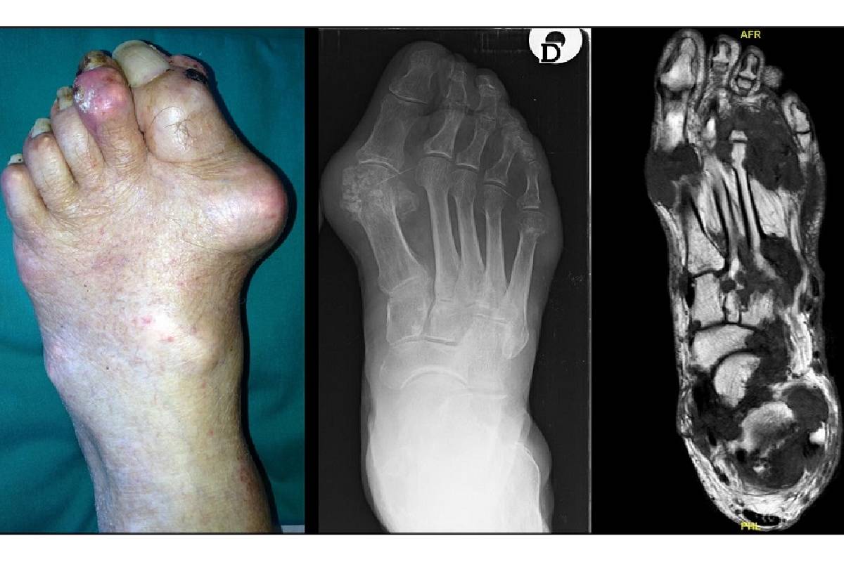
3. انگشتان چنگالی، چکشی و پتکی
این مشکلات، تغییر شکل انگشتان پا هستند که به دلیل کفش نامناسب یا مشکلات عصبی ایجاد میشوند. انگشت چکشی بیشتر در زنان شایع است و با درد و سفتی همراه است. جالب است بدانید که درمان انگشت چکشی دست با فیزیوتراپی نیز اصول مشابهی دارد و با تمرینها و تکنیکهای اصلاحی میتوان به بهبود حرکت و کاهش درد در مفاصل کمک کرد.
معاینه رایگان توسط فیزیوتراپیست محسن بیات
اطلاعات تماس خود را وارد کنید.
توجه داشته باشید؛ فیزیوتراپی راحیل در شهر اصفهان قرار دارد.4. تاندونیت اکستانسور
تاندونیت اکستانسور التهاب تاندونهایی است که انگشتان را به سمت بالا میکشند. این درد اغلب به دلیل فعالیت بیش از حد یا کفش تنگ رخ میدهد و با ورم و حساسیت به لمس همراه است.
5. تاندونیت تیبیالیس قدامی
این التهاب در تاندون جلوی مچ پا ایجاد میشود و باعث درد تدریجی میگردد. بهبود آن ممکن است دو تا سه ماه طول بکشد و اغلب با حرکات مکرر مرتبط است.
6. نقرس پا

نقرس معمولاً انگشت بزرگ پا را درگیر میکند، اما میتواند به سایر قسمتها گسترش یابد. این بیماری با درد شدید، تورم و قرمزی همراه است و اغلب شبها شروع میشود.
7. پای ورزشکار
این عفونت قارچی پوست است که با زبری، پوستهپوسته شدن و تاول همراه است. بیشتر در مردان شایع است و از طریق تماس با سطوح آلوده منتقل میشود.
8. آسیبهای عصبی
آسیبهای عصبی میتواند باعث سوزنسوزن شدن، بیحسی یا ضعف در پا شود و اغلب از کمر یا ستون فقرات منشأ میگیرد.
9. کیست گانگلیون
این کیستها تودههای کوچک پر از مایع هستند که نزدیک مفاصل یا تاندونها تشکیل میشوند و میتوانند باعث درد شوند اگر به عصب فشار آورند.
10. ائتلاف تارسال
این وضعیت اتصال غیرطبیعی بین استخوانهای پا است که حرکت را محدود میکند و اغلب در نوجوانی ظاهر میشود.
11. سایر انواع
علاوه بر این، سیاتیک، آرتروز، عفونتها و بیماریهای عروقی نیز میتوانند باعث درد روی پا شوند.
دلایل درد روی پا
دلایل درد روی پا متنوع هستند و میتوانند از آسیبهای ساده تا بیماریهای مزمن متغیر باشند. شایعترین علت درد روی پا شامل فعالیت بیش از حد، مانند دویدن یا پریدن و استفاده از کفش نامناسب است. همچنین، مشکلات ساختاری مانند صافی کف پا یا تغییر شکل انگشتان میتوانند نقش داشته باشند. در چنین مواردی، فیزیوتراپی صافی کف پا میتواند به کاهش درد، اصلاح الگوی راه رفتن و بهبود عملکرد پا کمک کند.
بیماریهایی مانند پوکی استخوان که تراکم استخوان را کاهش میدهد، یا آرتروز که مفاصل را التهاب میکند، از دلایل جدیتر هستند. نوروپاتی محیطی، اغلب در افراد دیابتی، باعث درد تیرکشنده میشود. عفونتها، مانند عفونتهای استخوانی، با تب و تورم همراه هستند. علاوه بر این، کمبود ویتامین D و کلسیم، تغییرات هورمونی در زنان، استرس، وزن بالا و حتی پوشیدن کفشهای نامناسب میتوانند عوامل کمتر شناختهشدهای باشند که درد را تشدید کنند.
در موارد نادر، درد میتواند نشانهای از مشکلات جدی مانند سرطان استخوان باشد که با درد شبانه و تورم همراه است. همچنین، فاشیای پلانتار و سندرم تونل تارسال از دلایل عصبی و بافتی هستند که نباید نادیده گرفته شوند.

تشخیص علت درد روی پا
تشخیص درد روی پا
برای تشخیص دقیق علت درد روی پا، پزشک ابتدا معاینه فیزیکی انجام میدهد و به دنبال علائم مانند تورم یا حساسیت میگردد. تصویربرداری مانند اشعه ایکس برای بررسی شکستگیها مفید است. در موارد پیچیده، ام آر آی یا سی تی اسکن برای دیدن بافتهای نرم استفاده میشود. آزمایش خون میتواند عفونت یا بیماریهایی مانند نقرس را شناسایی کند. گاهی نوار عصب و عضله یا بیوپسی لازم است تا علت دقیق مشخص شود.
درمان درد روی پا
درمان بسته به علت درد روی پا متفاوت است. در موارد خفیف، استراحت، استفاده از کمپرس یخ و بالا نگه داشتن پا برای کاهش تورم کافی است. داروهای ضدالتهابی مانند ایبوپروفن میتوانند درد را تسکین دهند. فیزیوتراپی برای تقویت عضلات و بهبود حرکت مفید است.
برای مشکلات ساختاری، ارتوتیک یا کفشهای طبی توصیه میشود. در عفونتها، آنتیبیوتیکها ضروری هستند. جراحی تنها در موارد نادر مانند کیست بزرگ یا شکستگی شدید انجام میشود. درمانهای خانگی مانند ماساژ با روغنهای طبیعی یا حمام آب گرم با نمک اپسوم نیز میتوانند کمککننده باشند. برای بیماریهای مزمن مانند آرتروز، تغییر رژیم غذایی و ورزشهای کششی پیشنهاد میشود.
پیشگیری از درد روی پا
پیشگیری همیشه بهتر از درمان است. استفاده از کفشهای مناسب که پشتیبانی خوبی از پا فراهم کنند، کلیدی است. گرم کردن بدن قبل از ورزش و استراحت کافی بین فعالیتها میتواند از آسیبها جلوگیری کند. حفظ وزن مناسب و رژیم غذایی غنی از کلسیم و ویتامین D به تقویت استخوانها کمک میکند. اجتناب از فعالیتهای سنگین بدون آمادگی و مدیریت استرس نیز نقش مهمی در کاهش خطر درد دارد.
سوالات متداول در مورد علت درد روی پا
آیا درد روی پا همیشه نشانه بیماری جدی است؟
خیر، اغلب به دلیل فعالیت بیش از حد یا کفش نامناسب است، اما اگر مداوم باشد یا با تورم همراه، به پزشک مراجعه کنید.
چگونه میتوان درد روی پا را در خانه تسکین داد؟
با استراحت، کمپرس یخ و بالا نگه داشتن پا شروع کنید. ماساژ و تمرینات کششی نیز مفید هستند.
چه زمانی درد روی پا نیاز به جراحی دارد؟
تنها در موارد نادر مانند شکستگی شدید یا کیست بزرگ که درمانهای دیگر مؤثر نباشند.
آیا کمبود ویتامین میتواند باعث درد روی پا شود؟
بله، کمبود ویتامین D و کلسیم میتواند استخوانها را ضعیف کند و درد ایجاد نماید.
درد روی پا در ورزشکاران چقدر شایع است؟
بسیار شایع است، به ویژه به دلیل شکستگی استرسی و التهاب تاندونها ناشی از فعالیت سنگین.